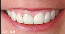
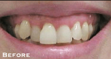
FROM GOOD TO BEAUTIFUL
From Good to Beautiful - Before From Good to Beautiful - After
From Good to Beautiful - BeforeBefore From Good to Bea?��???sutiful - AfterAfter
Tetracycline Stains/20 Year Recall Before Tetracycline Stains/20 Year Recall Before
Tetracycline Stains/20 Year Recall BeforeBefore Tetracycline Stains/20 Year Recall BeforeAfter
Stained, Crooked Teeth Before Stained, Crooked Teeth After
Stained, Crooked Teeth BeforeBefore Stained, Crooked Teeth AfterAfter
Stainde / Discolored
Smile Perfection with LUMINEERS Before Smile Perfection with LUMINEERS After
Smile Perfection with LUMINEERS BeforeBefore Smile Perfection with LUMINEERS AfterAfter
Misshapen & Stained Before Misshapen & Stained After
Misshapen & Stained BeforeBefore Misshapen & Stained AfterAfter
Attractive Smile Made Dramatically More - Before Attractive Smile Made Dramatically More - After
Attractive Smile Made Dramatically More - BeforeBefore Attractive Smile Made Dramatically More - AfterAfter
Crooked / Crowded
Spaced Teeth Before Spaced Teeth After
Spaced Teeth BeforeBefore Spaced Teeth AfterAfter
Renewing Old Dental Work - Before Renewing Old Dental Work - After
Renewing Old Dental Work - BeforeBefore Renewing Old Dental Work - AfterAfter
Small / Chippde
Straightening Crooked Teeth - Before Straightening Crooked Teeth - After
Straightening Crooked Teeth - BeforeBefore Straightening Crooked Teeth - AfterAfter
Stained, Chipped Smile - Before Stained, Chipped Smile - After
Stained, Chipped Smile - BeforeBefore Stained, Chipped Smile - AfterAfter
Old crowns / Bonding
Multiple Spaces Between Teeth - Before Multiple Spaces Between Teeth - After
Multiple Spaces Between Teeth - BeforeBefore Multiple Spaces Between Teeth - AfterAfter
Permanent Whitening & Straightening - Before Permanent Whitening & Straightening - After
Permanent Whitening & Straightening - BeforeBefore Permanent Whitening & Straightening - AfterAfter
Old bridges / Missing
Small & Misshaped Teeth - Before Small & Misshaped Teeth - After
Small & Misshaped Teeth - BeforeBefore Small & Misshaped Teeth - AfterAfter
Small & Misshaped Teeth - Before Small & Misshaped Teeth - After
Small & Misshaped Teeth - BeforeBefore Small & Misshaped Teeth - AfterAfter