服务范围
正畸
治疗
手指习惯
Ortho Clear
口腔卫生
矫正器保养
舒缓食谱
Lumineers
美容改造
魔术牙套
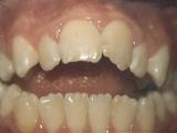
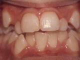
这里有问题,正畸可以纠正一些例子。点击任何的实施例看到完成的结果。
拥挤的牙齿。
开咬。门牙不碰。
深覆。下前牙咬成口味。
缺少侧切牙。
前突。下前牙在鞋面的前部。
间距牙齿。
覆。突出的前牙。
非牙套治疗。
Anko Hsiao Web Site by Design101