Magic Braces

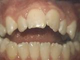
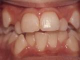
Here are some examples of problems that orthodontics can correct. Click on any of the examples to see the finished result.

Crowding of the teeth.

Openbite. Front teeth don't touch.

Deep overbite. Lower front teeth bite into palate.

Missing lateral incisors.

Underbite. Lower front teeth in front of uppers.

Spacing of teeth.

Overbite. Protruding front teeth.

Non-braces treatment.